-
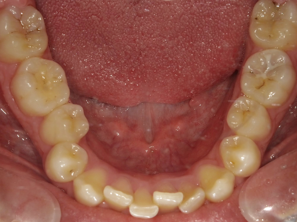
No.001|Bさん(男性)
インビザライン
- 施術方法
- インビザライン
- 年齢
- 20代
- 治療期間
- 約30ヶ月
実際の治療例
Voice
患者さまの声
患者さまの声
| 診療時間 | 月 | 火 | 水 | 木 | 金 | 土 | 日・祝 |
|---|---|---|---|---|---|---|---|
| 09:30-12:30(最終受付時間 12:00) | 〇 | 〇 | 〇 | 〇 | 〇 | 〇 | - |
| 14:00-18:00(最終受付時間 17:30) | 〇 | 〇 | 〇 | 〇 | 〇 | △ | - |
△土曜日午後は14:00〜17:00(最終受付16:30)まで【休診】日曜・祝日
●電車でお越しの方
近鉄難波駅より奈良行き普通電車30分
瓢箪山駅下車 南へ徒歩5分
●お車でお越しの方
専用駐車場をご用意しています。
アクセスマップをご確認ください。
〒579-8053
大阪府東大阪市四条町1-14クリニックプラザビル3FGoogle Map
読み込み中...*毎月のスケジュールの詳細はお知らせ欄よりご確認ください。